por Natural Control | Ene 25, 2023 | Blog
La limpieza y sanitización de palomas es importante por varias razones: 1. Salud pública: Las palomas pueden ser portadoras de enfermedades que pueden ser transmitidas a los humanos, como la salmonelosis, la histoplasmosis y la criptococosis. La limpieza y...
por Natural Control | Ene 9, 2023 | Blog
La principal diferencia entre una paloma blanca y una paloma gris es su coloración. Como su nombre indica, las palomas blancas tienen plumaje blanco, mientras que las palomas grises tienen plumaje gris. Además de la diferencia en el color, hay algunas otras...
por Natural Control | Ene 9, 2023 | Blog
Las palomas, cuando crean sus nidos y conforman una plaga, pueden ser realmente molestas y suponer un foco de infecciones para los humanos. Por ello, es muy importante conocer cómo prevenir una plaga de palomas y, así, evitar todas las problemáticas que ocasionan. ¿Te...
por Natural Control | Ene 9, 2023 | Blog
Aunque parezcan pequeñas e inofensivas, bajar la guardia frente a una plaga de palomas puede ser un grave error. Por ello te dejamos a continuación una serie de conclusiones que podemos obtener al evaluar este tipo de plaga. Daños e infecciones que pueden transmitir...
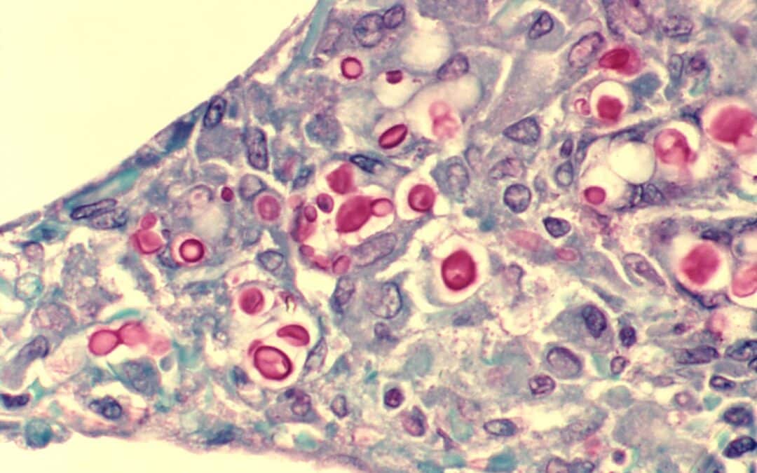
por Natural Control | Dic 22, 2022 | Blog
La criptococosis es una infección causada por el hongo Cryptococcus neoformans. Este hongo se encuentra en el suelo, en el excremento de aves y mamíferos, y en algunos árboles y plantas. La infección generalmente se produce por inhalación de las esporas del hongo, que...