El término «poste rebote» o «espiral Coil» se refiere a un componente que se utiliza en algunos tipos de micrófonos y altavoces.
Blog
Inicio > Blog
Palomas: ¿Enemigas del hombre o equilibradoras del ambiente?
Estas aves comparten espacios comunes con el ser humano. Está permitido cazarlas para evitar la sobrepoblación, aunque no todos comparten dicha medida.
Polillas de despensa, una vieja conocida
¿Te has dado cuenta que al abrir tu despensa, casi al instante, salen rápidamente unas polillas pequeñas desde el interior?. Pues te presento a la famosa Plodia interpunctella, conocida en Chile como la “polilla india de la harina”, “polilla de la despensa o “polilla del grano”.
¿Por qué es importante la limpieza y sanitización de palomas?
La limpieza y sanitización de palomas es importante por varias razones
¿Qué diferencia hay entre una paloma blanca y gris?
La principal diferencia entre una paloma blanca y una paloma gris es su coloración.
¿Cómo prevenir una plaga de palomas?
Las palomas, cuando crean sus nidos y conforman una plaga, pueden ser realmente molestas y suponer un foco de infecciones para los humanos. Por ello, es muy importante conocer cómo prevenir una plaga de palomas y, así, evitar todas las problemáticas que ocasionan.
¿Por qué las palomas se consideran una plaga?
Aunque parezcan pequeñas e inofensivas, bajar la guardia frente a una plaga de palomas puede ser un grave error. Por ello te dejamos a continuación una serie de conclusiones que podemos obtener al evaluar este tipo de plaga.
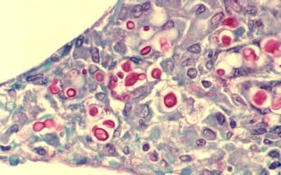
¿Qué es la criptococosis?
La criptococosis es una infección causada por el hongo Cryptococcus neoformans.
¿Cómo funcionan los repelentes ultrasónicos?
Los repelentes son una muy buena opción cuando se trata de mantener a las aves alejadas. En esta categoría podemos encontrar tres tipos de repelentes; Sonoros, Gel Anti Paloma y Visuales
¿Por qué necesitas un sistema de púas anti palomas?
La púas anti palomas es uno de los métodos más utilizados y efectivos que hoy se ofrecen en el mercado.
¿Qué es la salmonelosis?
La salmonelosis es una infección bacteriana que se produce por la ingestión de alimentos o agua contaminados con la bacteria Salmonella. L
Palomas urbanas: 9 enfermedades que podrían llegar a transmitir
Están en todas partes en la ciudad, sobre todo en las plazas, en las terrazas y en los patios. Sueltan sus excrementos ‘donde les viene en gana’ y, además, no son muy limpias. Merece la pena destacar también que pueden portar diversas enfermedades, tales como las que transmiten los piojos o las bacterias.











