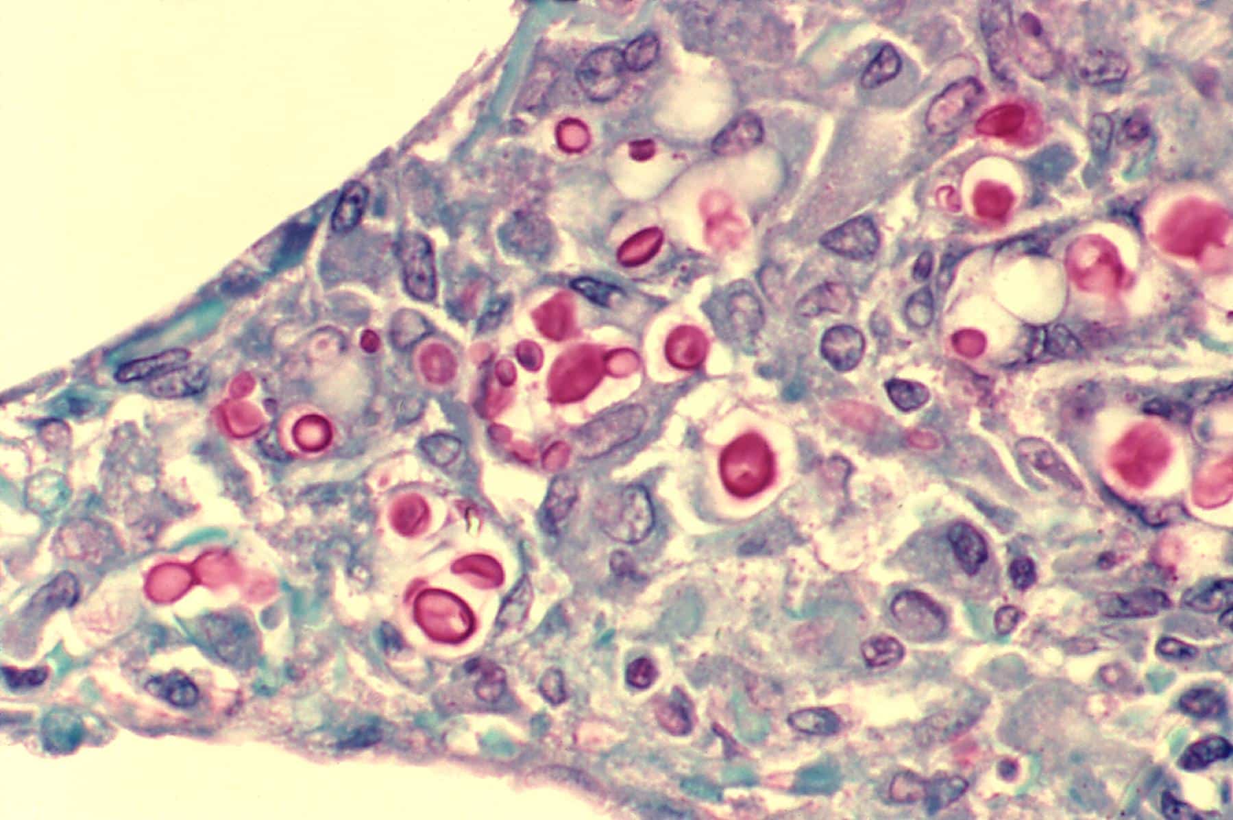
La criptococosis es una infección causada por el hongo Cryptococcus neoformans. Este hongo se encuentra en el suelo, en el excremento de aves y mamíferos, y en algunos árboles y plantas. La infección generalmente se produce por inhalación de las esporas del hongo, que pueden estar presentes en el aire o en el polvo.
La criptococosis puede afectar a cualquier persona, pero es más común en personas con sistemas inmunitarios debilitados, como aquellas con VIH/SIDA, cáncer o que han recibido un trasplante de órganos. La infección puede ser grave y potencialmente mortal si no se trata.
Los síntomas de la criptococosis pueden variar, pero generalmente incluyen fiebre, dolor de cabeza, fatiga, náuseas y vómitos. En casos más graves, la infección puede afectar el sistema nervioso central y causar meningitis.
El tratamiento de la criptococosis generalmente implica el uso de medicamentos antifúngicos, como la anfotericina B y el fluconazol. La prevención de la criptococosis implica evitar la exposición a las esporas del hongo, especialmente en personas con sistemas inmunitarios debilitados.





